〒957-0053 新潟県新発田市中央町1-1-2
羽越本線、白新線「新発田駅」より徒歩7分

電話での問合せ・無料相談予約

0120-468-256
診療時間
9:00~12:00/14:00~18:00
休診日
木曜・日曜・祝日

なるべく歯を抜かない
マウスピース矯正

矯正治療では、歯並びを整えるスペースを確保するために、前から数えて4番目の歯を「4本」抜歯するのが一般的です。

しかし、患者さまの中には「できれば歯を抜かずに矯正したい」と希望される方も多くいらっしゃいます。

そうしたご要望に寄り添い、私どもは抜歯を極力避けた矯正治療に注力しております。

 

インビザラインで
奥歯を動かしてスペース確保

当院ではマウスピース矯正「インビザライン」を推奨しています。奥歯をさらに奥側へ動かせる唯一の矯正方法で、効率的にスペースを作り出せるからです。

従来のワイヤー矯正では、奥歯を奥へと移動できないため、スペースを作るために抜歯せざるを得ませんでした。

その点、当院のインビザライン治療なら、歯を動かすのに十分なスペースを作り出せます。これにより、抜歯のリスクを最小限に減らせるのです。

 

抜歯は最小限に
キレイな歯並びを

先にご紹介したとおり、歯並びの状態が著しく悪い場合は4本の歯を抜歯する方法をとるのが通常です。

しかし、中には抜歯数を抑えられるケースも存在します。4本全部を抜歯せずとも、ある程度なら歯並びが整うことも少なくないのです。

当院では治療前に、抜歯または非抜歯の両ケースで仕上がりにどんな差が出るのかをご説明しています。その話を踏まえて、どちらの方法にするかを患者さまと一緒に決める方針です。

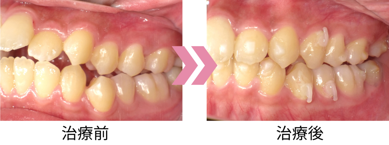
非抜歯で治療した実際の症例は、こちらをご覧ください。

完璧な美しさを追求するなら、抜歯が避けられないケースも少なくありません。私どもはそうした場合でも、キレイな歯並びと健康なお口を両立させるために、抜歯数を最小限に抑えられるよう最善を尽くします。

 

患者さまの人生に寄り添う矯正治療

歯科医療において何よりも大切なのは、一人ひとりの幸せを第一に考えることだと当院は考えています。

「本当に患者さまの人生に良い影響をもたらすのか」という視点が欠けて、歯科医師側が歯並びの美しさだけを追求してしまっては、患者さまにとっては一方的な押し付けでしかありません。

だからこそ私どもは、完璧な歯並びよりも患者さまの将来を見据えて、末永くお口の健康を維持できる矯正治療を目指しているのです。

歯を抜かない非抜歯矯正、抜歯数を最小限に抑えた歯列矯正をご用意し、患者さまに最適な治療法をご提案いたします。ぜひ当院にお任せください。

 

診療時間

 
午前
午後

午前:9:00~12:00
午後:14:00~18:00
休診日:木曜・日曜・祝日
※最終受付:17:30

アクセス

〒957-0053
新潟県新発田市中央町1-1-2